NACH OBEN

Translationale Tumorforschung

Leitung: Dr. rer. nat. André Haase

Unsere Arbeitsgruppe beschäftigt sich mit der Tumorbiologie des Retinoblastoms (RB) und des kolorektalen Karzinoms (CRC). Unser Ziel ist es, molekulare Mechanismen der Tumorprogression zu verstehen, neue therapeutische Angriffspunkte zu identifizieren und innovative Behandlungsstrategien zu entwickeln, die langfristig zu einer verbesserten Patientenversorgung beitragen. Unsere Arbeitsgruppe verbindet modernste Zell- und Molekularbiologie mit innovativen Tumormodellen, funktioneller Bildgebung und pharmakologischer Entwicklung.

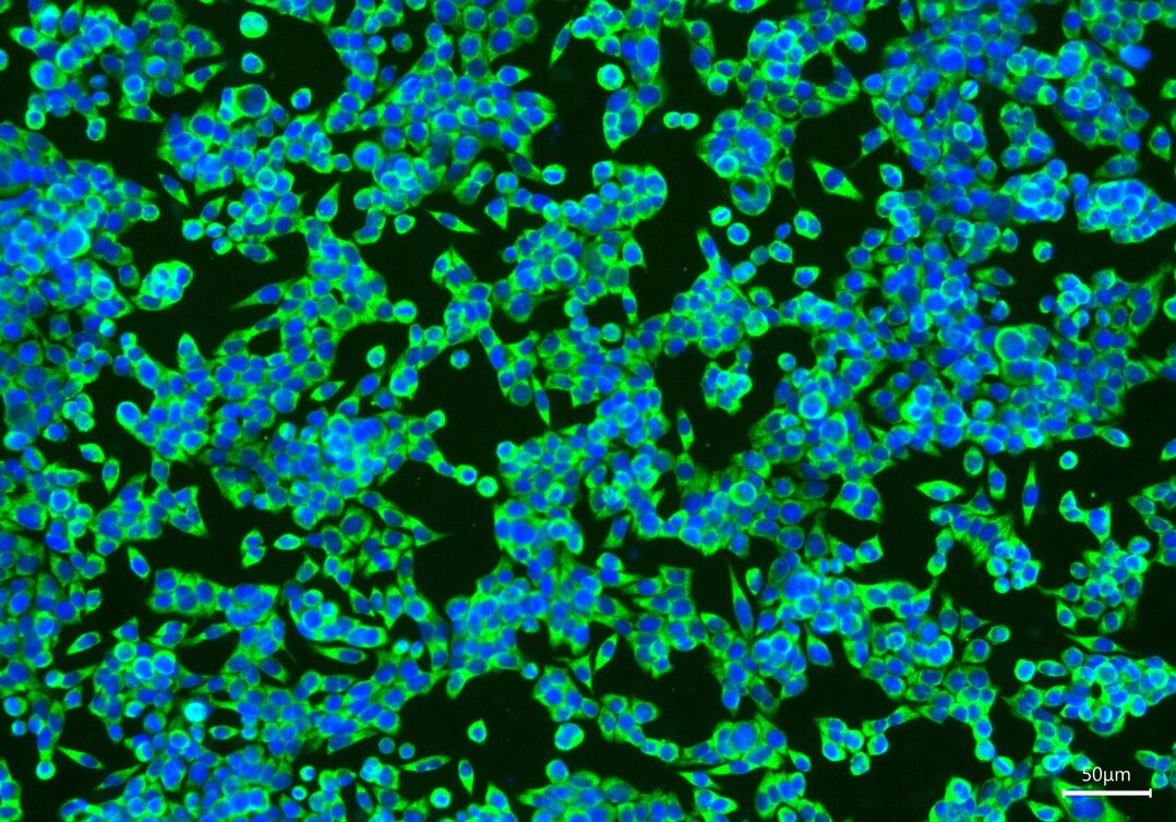
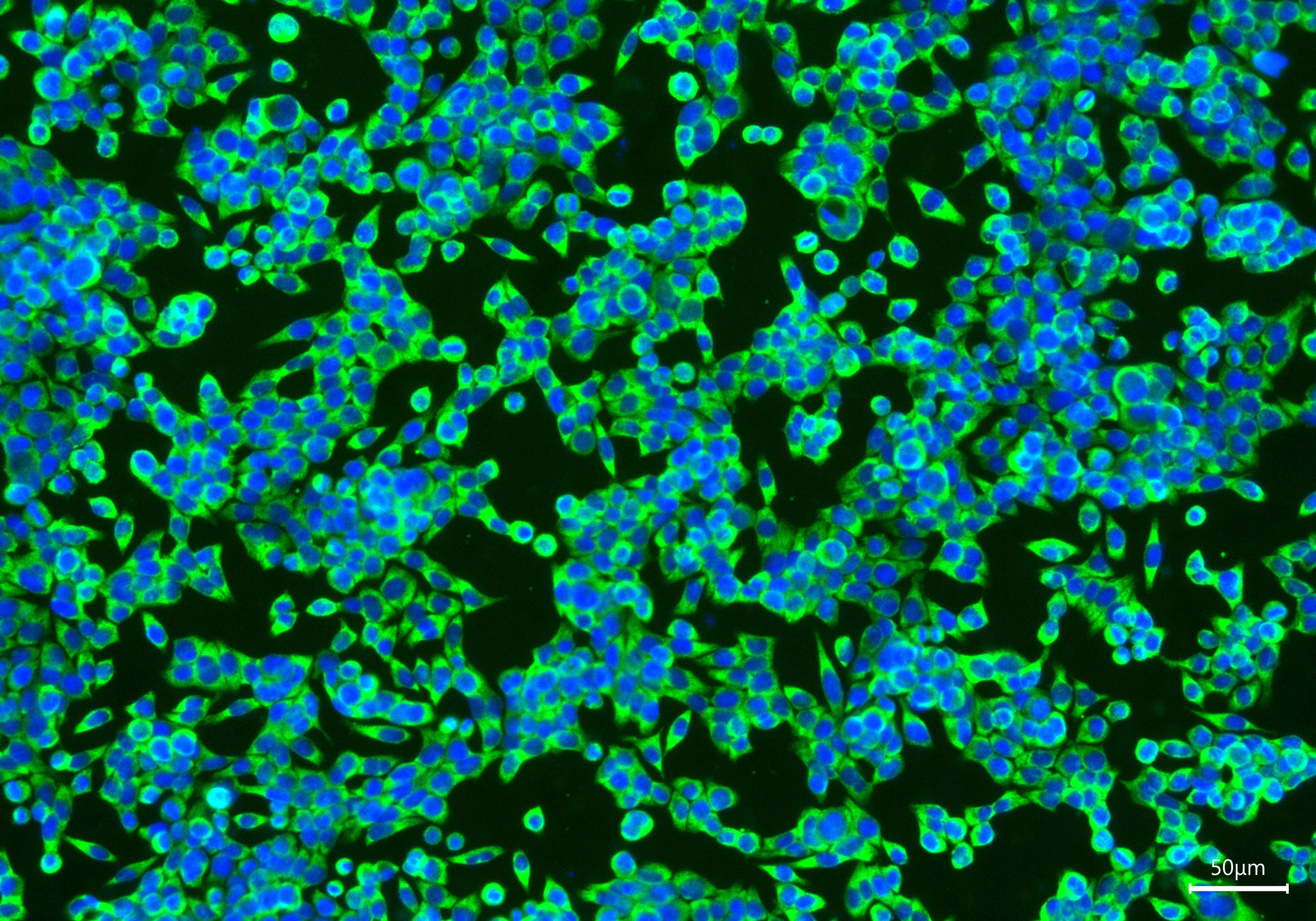
Fluoreszenzmikroskopische Aufnahme kolorektaler Karzinomzellen (CRC) mit DAPI-gefärbten Zellkernen (blau, 460 nm) und Aktin-Zytoskelett (grün, 488 nm).
Lupe
Fluoreszenzmikroskopische Aufnahme kolorektaler Karzinomzellen (CRC) mit DAPI-gefärbten Zellkernen (blau, 460 nm) und Aktin-Zytoskelett (grün, 488 nm).
© A. Haase

Zwei Tumorentitäten – ein komplementärer Forschungsansatz

Das Retinoblastom ist ein seltener Augentumor des Kindesalters mit einem außergewöhnlich homogenen genetischen Hintergrund. Diese Besonderheit macht das Retinoblastom zu einem idealen Modellsystem, um grundlegende Mechanismen der Tumorentstehung, der metabolischen Reprogrammierung und der Therapieresistenz unter klar definierten genetischen Bedingungen zu untersuchen.

Im Gegensatz dazu stellt das kolorektale Karzinom eine der genetisch heterogensten Tumorerkrankungen dar und ist weltweit eine der häufigsten Krebsarten. Die enorme molekulare Vielfalt dieser Tumoren spiegelt die klinische Realität der personalisierten Onkologie wider und erlaubt es uns, neue Therapieansätze unter realistischen, hochvariablen Bedingungen zu testen.

Die parallele Erforschung beider Tumorentitäten ermöglicht es uns, grundlegende onkogene Prinzipien aus einem genetisch klaren Modellsystem (RB) in ein hochkomplexes klinisches Szenario (CRC) zu übertragen. Dadurch können wir robuste, tumorübergreifende Mechanismen identifizieren und gleichzeitig individualisierte Therapieansätze entwickeln.

Unsere Forschungsprojekte:

  • Molekulare Charakterisierung aggressiver Tumorsubtypen
  • Analyse von Tumorstoffwechsel, Proliferation und Invasivität
  • Untersuchung tumorassoziierter Signalnetzwerke
  • Analyse genetischer und genomischer Veränderungen (z. B. Mutationen, Amplifikationen, Expressionsprofile)
  • Entwicklung neuer pharmakologischer Wirkstoffe
  • Evaluierung innovativer Kombinationsstrategien

Ein besonderer Fokus liegt auf der funktionellen Validierung neuer Zielstrukturen sowie der präklinischen Bewertung neuer Substanzen.

Tumormodellsystem: Die Chorioallantoismembran des Hühnerembryos

Die Chorioallantoismembran (CAM) ist eine dünne, hochvaskularisierte Membran, die den Hühnerembryo umgibt und physiologisch als eine Art „Lunge“ fungiert. Über sie erfolgt der Gasaustausch des Embryos, wodurch sie besonders stark durchblutet und metabolisch aktiv ist.

Diese einzigartige biologische Struktur macht die CAM zu einem idealen in-ovo-Modellsystem für die Tumorforschung. Humane Tumorzellen oder Tumorgewebe können direkt auf die Membran aufgebracht werden, wo sie innerhalb weniger Tage anwachsen, vaskularisiert werden und solide Tumoren bilden.

Im CAM-Modell lassen sich Tumorwachstum, Gefäßneubildung (Angiogenese), Invasion und Metastasierung in einem lebenden Organismus untersuchen. Gleichzeitig ermöglicht das Modell die präklinische Testung neuer Wirkstoffe und Therapieansätze unter physiologisch relevanten Bedingungen.

In-situ-Aufnahme eines Tumors aus humanen kolorektalen Karzinomzellen (CRC) auf der Chorioallantoismembran (CAM) im Hühnerei mit ausgeprägter tumorassoziierter Vaskularisierung.
Lupe
In-situ-Aufnahme eines Tumors aus humanen kolorektalen Karzinomzellen (CRC) auf der Chorioallantoismembran (CAM) im Hühnerei mit ausgeprägter tumorassoziierter Vaskularisierung.
© A. Haase

Durch die kurze Versuchsdauer, hohe Reproduzierbarkeit und die Anwendung vor dem schmerzempfindlichen Entwicklungsstadium des Embryos erfüllt das CAM-Modell in besonderem Maße die ethischen Anforderungen der 3R-Prinzipien und stellt eine Brücke zwischen klassischen Zellkulturmodellen und etablierten Tiermodellen dar.

Ein besonderer Schwerpunkt unserer CAM-Plattform liegt auf der funktionellen Lebend- und Live-Bildgebung der Tumorvaskularisierung. Hierfür verfügen wir über moderne Laser-Speckle-Imaging-Systeme, die eine nicht-invasive, hochauflösende Echtzeitmessung des Blutflusses in der CAM erlauben. Dadurch können dynamische Veränderungen der Perfusion, vaskuläre Remodellierung sowie akute und chronische Therapieeffekte quantitativ erfasst werden.

Im CAM-Modell können wir:

  • Tumorwachstum in Echtzeit verfolgen
  • Tumorangiogenese, Perfusion und Invasion analysieren
  • Metastasierungsprozesse untersuchen
  • neue Wirkstoffe präklinisch testen
  • Therapieeffekte hochauflösend und funktionell bildgebend erfassen

Damit schließen wir die Lücke zwischen klassischen Zellkulturmodellen und aufwendigen Tiermodellen und schaffen eine leistungsfähige Plattform für die translationale Krebsforschung.

Unsere Arbeitsgruppe verbindet modernste Zell- und Molekularbiologie mit innovativen Tumormodellen, funktioneller Bildgebung und pharmakologischer Entwicklung. Durch die enge Verzahnung von Grundlagenforschung und präklinischer Validierung schaffen wir eine starke Grundlage für zukünftige personalisierte Therapieansätze in der Onkologie.

Die CAM-Plattform steht für wissenschaftliche Kooperationen in den Bereichen Tumorangiogenese, vaskuläre Funktion, Wirkstofftestung und translationale Onkologie zur Verfügung. Interessierte Kooperationspartner wenden sich bitte direkt an den Arbeitsgruppenleiter Dr. André Haase.